Conversatorio clínico patológico en el Hospital Nacional Arzobispo Loayza_2010-01.

 

Clinical Case at the Hospital Nacional Arzobispo Loayza_2010-1.

 

 

Editor Responsable : Dr. Enrique Cipriani1

Editores Asociados : Dra. Gloria Bravo1

Dr. Jorge Casas1

Dr. Abdias Hurtado1

Dra. Giovanna Rodríguez1

Discusión Clínica : Dr. Helard Manrique2

Discusión Patológica : Dr. César Chian3

Responsable : R3 Julio Alfaro4

 

1Profesor del Departamento de Medicina. Facultad de Medicina Alberto Hurtado Universidad Peruana Cayetano Heredia. Lima, Perú.

2Médico Asistente de Medicina. Hospital Nacional Arzobispo Loayza.

3Profesor del Departamento Académico de Patología. Universidad Peruana Cayetano Heredia. Lima, Peru.

4Médico Residente del tercer año de Medicina. Facultad de Medicina Alberto Hurtado Universidad Peruana Cayetano Heredia. Lima, Perú.

 

Enfermedad actual:

 

Paciente de 38 años natural y procedente de Satipo; con nueve meses de enfermedad, cuyos síntomas principales fueron: disfagia, odinofagia, disfonía y pérdida de peso.

 

Al inicio presentó disfagia leve a sólidos; esta progresó lentamente haciéndose más intensa y agregándose odinofagia. Acudió a un centro de salud donde le diagnostican amigdalitis aguda, prescribiéndole antibiótico y anti-inflamatorio con los que notó leve mejoría.

 

Los síntomas se hicieron más intensos y dos meses antes del ingreso la disfagia se hizo extensiva a líquidos y notó leve disfonía.

Un mes antes de ingresar presentó fiebre, malestar general, disnea, tos con expectoración amarillenta, sialorrea y mayor disfonía. Acudió a otro hospital donde le diagnostican neumonía siendo tratada con ceftriaxona, remitiendo la fiebre, pero sin mejoría de los otros síntomas.

Dos semanas después está prácticamente afónica, "no podìa deglutir nada" y tenía abundante sialorrea. El apetito era normal, pero la disfagia le impedía ingerir alimentos.

 

En estas condiciones fue referida a nuestro hospital. La paciente había perdido 22 kg de peso en los últimos 5 meses.

 

 

Antecedentes:

 

Vivienda con agua, desagüe y luz, no cría animales. Menarquia a los 15 años de edad. Fecha de última regla hace 1 mes. G3 P3002. No intervenciones quirúrgicas, así como hospitalizaciones previas. Niega contactos con paciente con tuberculosis. Papanicolau de cuello uterino hacen dos años fue normal. Hace diez años presentó molestias digestivas altas que motivaron la realización de una endoscopia alta cuyo diagnóstico fue "gastritis crónica. No fuma y niega ingesta de alcohol.

 

 

Examen Físico:

 

Presión arterial: 90/60 mm Hg; Pulso: 64 ; Frecuencia respiratoria: 16; Temperatura: 37ºC; Peso: 34 kg; Talla: 1.55 metros; IMC: 14.

Paciente caquéctica, deshidratada, crónicamente enferma. Piel: Tibia, elástica, palidez leve, llenado capilar<2". Tejido celular subcutáneo escaso; no había edema. Ganglios linfáticos cervicales bilaterales con diámetros de uno a tres centímetros, móviles, algo duros, algunos dolorosos. Huesos y articulaciones: Normales. Musculatura hipotrófica.

Cabeza: normocéfala, atrofia de músculos temporales. Pupilas con reacción normal a la luz y acomodación. Fosas nasales normales. Conductos auditivos externos normales, Boca: Húmeda con sialorrea leve; orofaringe congestiva, sin lesiones. Cuello: cilíndrico; tiroides normal; presencia de adenopatía ya descrita; tráquea central; laringe fija a planos profundos, poco movil y con leve dolor a la movilización. No había ingurgitación yugular ni reflujo hepato yugular. Mamas: péndulas, sin masas, ni secreciones. Tórax y pulmones: el murmullo vesicular pasa bien en ambos campos pulmonares; algunos subcrepitantes en ambas base. Escasos sibilantes, no estridor. Cardiovascular: los ruidos cardiacos son normales, no hay soplos: Los pulsos periféricos tienen caracteres normales. Abdomen: excavado, blando, no doloroso, no hay visceromegalia. Los ruidos hidroaéreos eran normales.

Génito urinario: Puño percusión lumbar negativo; los genitales externos y el examen vaginal normales. Sistema nervioso: orientada en tiempo espacio y persona; pares craneales, sistema motor, sensitivo, coordinación normales.

 

La Tomografía cervical, la radiografía de tórax y de esófago contrastado se muestran en la discusión.

 

 

Discusión Clínica: Dr. Alejandro Figueroa

 

Es importante tener en cuenta que estamos frente a una mujer de 38 años de edad, es una paciente relativamente joven para pensar en una neoplasia; sin embargo, no se la puede descartar y se deben tener en cuenta además de las enfermedades benignas que se presentan con disfagia. Entre estas últimas: los trastornos funcionales de la deglución por alteraciones neuromusculares; además de las lesiones orgánicas como el divertículo esofágico, la acalasia, la estrechez esofágica post-esofagitis crónica o ingesta de sustancias cáusticas. Llama la atención el tiempo de enfermedad de nueve meses, es un tiempo de enfermedad prolongado para una neoplasia.

 

Los síntomas de presentación fueron además de la disfagia; odinofagia y disfonia asi como baja de peso; algunas neoplasias están muy relacionadas a estos síntomas.

 

Los síntomas de la paciente sugieren como primera opción una lesión a nivel del esófago, sin embargo el cáncer de esófago suele presentarse a partir de la sexta década de la vida y a predominio de varones. En este caso estamos frente a una mujer por debajo de los 40 años, no por ello se puede excluir este diagnóstico.

 

La disfagia al inicio fue a predominio de sólidos y paulatinamente se hace más frecuente e intensa y en el curso de la enfermedad evoluciona a disfagia a líquidos; la secuencia es característica de una lesión mecánica como es el cáncer esofágico.

 

La disfonia merece un comentario aparte, pues indica compromiso de las cuerdas vocales o de su inervación. El esófago es un órgano mediastinal íntimamente relacionado con muchas estructuras vecinas, entre ellas los nervios recurrentes, que pueden ser comprometidos por las neoplasias invasivas, y que podrían explicar este síntoma que llegó incluso a progresar a la afonía.

 

Llama también la atención la neumonía que presentó la paciente, que la llevó a ser hospitalizada recibiendo tratamiento con ceftriazona.

 

En el examen clínico presenta adenopatía cervical bilateral; esto obliga a plantear diagnósticos que van desde neoplasias de cabeza y cuello, primarias de los ganglios linfáticos, pero también cáncer esofágico; en este último caso la adenopatía no suele ser bilateral.

 

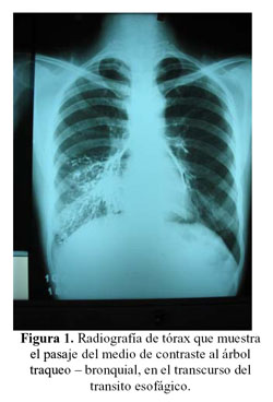
Las radiografías de esófago con doble contraste, revelaron abundante pasaje del contraste al árbol bronquial (Figura 1), indicando la presencia de una fístula probablemente con la tráquea. Además en la tomografía computada del cuello se observa la presencia de enfisema subcutáneo (Figura 2). Si bien la causa neoplásica más frecuente de fístulas tráqueo esofágicas es el cáncer de esófago (1), esta entidad produce esta complicación con poca frecuencia (2,3). También ocurren fístulas directas entre esófago y pulmón que son muy raras, así como fístulas esófago bronquiales; pero generalmente el cáncer de esófago se localiza en su tercio medio dando las fístulas traqueo-esofágicas.

 

 

 

 

 

La presencia de la fístula traqueo-esofágica nos explica el origen de la neumonía que aquejó a la paciente y nos permite catalogarla como neumonía aspirativa.

 

Comentario aparte merece el dato de la historia, acerca del diagnóstico de amigdalitis antes que aparezca la neumonía. Llamo la atención a ese detalle, porque también puede ser una "amigdalitis supuesta" y no una amigdalitis simple. Al tener un supuesto cuadro de amigdalitis en una paciente joven con un tiempo de evolución de 9 meses, por qué no pensar en linfoma?

Los linfomas son ganglionares en el 55% de los casos y extraganglionares en el resto (4); y entre estos, los del tubo gástrointestinal en primer lugar y en segundo lugar los que se originan en el anillo de Waldeyer, que contiene a las amígdalas. La infiltración tumoral linfomatosa suele tener un alto índice mitótico, puede necrosarse e infectarse simulando un cuadro de amigdalitis; esas lesiones pueden también ocasionar disfagia.

 

La paciente aparentemente mejoró con la terapia antibiótica y antinflamatoria. El linfoma es una posibilidad en esta paciente joven, que además ha estado cursando con fiebre y baja de peso. El hecho de que sea el anillo de Waldeyer el origen de la neoplasia no excluye que exista compromiso de los ganglios linfáticos cervicales.

 

Habitualmente los linfomas del anillo de Waldeyer son caracterizados histológicamente como linfomas de células B grandes con marcada expresión de CD20 y BCL2 (5); pero también se describen algunos linfomas de tipo Malt.

 

Otra posibilidad diagnóstica es el carcinoma adenoma salival quístico. El carcinoma adenoma quístico, es una neoplasia bastante rara de las glándulas salivales, puede afectar las glándulas salivares mayores y menores; aunque es más común el origen en las glándulas salivales mayores, por ejemplo las parótidas (6). Puede también localizarse en otras estructuras, se ha descrito a nivel de mama, de esófago e inclusive se ha reportado carcinoma quístico esofágico que tendría relación directa con las fístulas traqueo – esofágicas (7).

 

Los diagnósticos a considerar son: el carcinoma esofágico localizado en su tercio medio, por lo que histológicamente debe ser de estirpe epidermoide; en segundo término considerar el linfoma del anillo de Waldeyer que si bien no produce fistulas traqueo – esofágicas, puede ser expresión de un compromiso tumoral más difuso que nos debe obligar a explorar todo el tubo digestivo.

 

El tercer diferencial está dado por lesiones neoplásicas de las glándulas salivales; el carcinoma adenoma quistico, posibilidad mas alejada porque no suele localizarse a nivel del esófago y producir fístulas traqueo-esofágicas; pero si debemos considerar al carcinoma muco-epitelial de las glándulas salivales que es la neoplasia mas frecuente de éstas y que ha diferencia del carcinoma adenoma quístico, si suele comprometer los ganglios cervicales.

Luego están todas las neoplasias de cabeza y cuello, específicamente los carcinomas naso faringeos y laringeos. Los carcinomas naso faringeos y laringeos tienen la particularidad de producir disfagia, odinofagia, afonía o disfonía y además linfadenopatía que puede ser bilateral.

 

La denominación anátomo patológica: carcinoma de cabeza y cuello se refiere a carcinomas epiteliales o carcinomas epidermoides.

 

Es importante conocer la anatomía del cuello, en lo que concierne a sus grupos ganglionares y sus conexiones de drenaje, ya que por la clínica se puede orientar la búsqueda de la neoplasia primaria.

 

En el cuello existen 7 grupos ganglionares, incluyendo a los supra e infraclaviculares; cada uno de ellos drena una zona relativamente específica (Figura 3); de tal manera que es posible identificar el origen primario de una neoplasia al conocer la cadena ganglionar comprometida por una metástasis. Es importante tener en cuenta que al pensar en un cáncer de esófago debiéramos encontrar adenopatía en el grupo 3 que está localizado debajo de la bifurcación de la carótida y el músculo homoiodeo; y si pensamos en un cáncer de esófago localizado en su tercio medio, el compromiso ganglionar probablemente estará localizado en el nivel 4 y también a nivel infraclavicular y supraclavicular. En el caso de neoplasias naso-faríngeas o laringeas la localización de la adenopatía cervical, puede ser bilateral y suelen localizarse en los niveles 2 ó 3.

 

 

 

Hay que mencionar que la paciente no tenía hábitos nocivos; tanto la adicción al tabaco como el consumo de alcohol están intimamente relacionadas con muchas neoplasias e incrementan el riesgo del cáncer de esófago de manera muy significativa.

Diagnóstico clínico: Fístula traqueo-esofágico por cáncer de esófago.

 

 

Discusión Patológica: Dr. César Chian

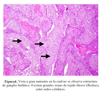
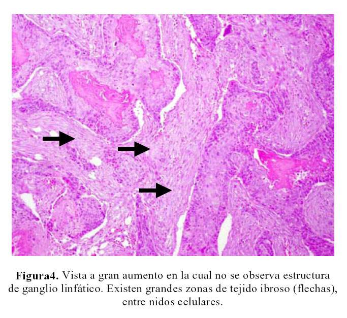
En la biopsia remitida de la lesión cervical, se observaron grandes nidos celulares rodeados por un estroma fibroso (Figura 4), que no es propio de los tejidos del cuello y que más bien se observa como una reacción frente a las neoplasias. La lesión primaria habría sobrepasado los ganglios linfáticos, extendiéndose hacia las partes blandas del cuello. No se identificó estructura de ganglio linfático.

 

 

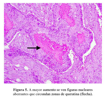
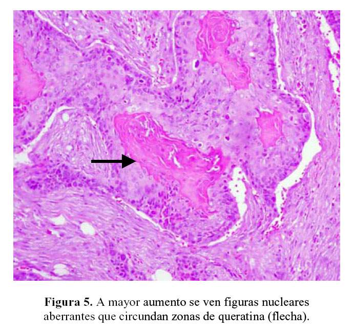
Las células epiteliales agrupadas en grandes nidos, presentan todos los criterios de malignidad: pleomorfismo, hipercromasia y mitosis atipicas; se observa además la presencia de queratina que da una coloración rojiza (Figura 5); una característica peculiar, aunque no exclusiva de los carcinomas epidermoides. Por excepción es posible hallar queratinización en meningiomas, carcinomas de células transicionales, entre otros (8). En este caso las características de la neoplasia, con presencia de uniones desmosomales, nos indican el diagnóstico de carcinoma epidermoide.

 

 

La información clínica ya discutida indica que el origen de la lesión es el esófago; podemos concluir que el diagnóstico final es carcinoma epidermoide del esófago.

 

Las formas de presentación del cáncer esofágico son variadas. Pueden observarse lesiones exofíticas con ulceración central; otras, estenosantes, anulares y algunas, como en este caso, que penetran la pared del esófago y que pueden producir fístulas (8).

 

En relación al cáncer de esófago es necesario revisar algunos de los factores de riesgo conocidos: esta paciente está muy por debajo del grupo etáreo promedio, que es entre la sexta y sétima década de vida; no hay historia de acalasia o de síndrome de Plummer-Vinson y tampoco se registra una frecuencia elevada de cáncer en sus antecedentes familiares (9).

La clasificación de neoplasias de esófago es amplia e incluye desde lesiones epiteliales benignas como papilomas; diversos grados de displasia; neoplasias malignas, como carcinomas y adenocarcinomas con sus diferentes subtipos histológicos. Además se describen tumores carcinoides; leiomiomas; GIST (sarcomas gastrointestinales que pueden producir grandes masas en el esófago) e incluso sarcoma de Kaposi.

 

La mayor parte de los carcinomas esofágicos son epidermoides o alguna de sus variantes; pero, en el esófago distal se producen adenocarcinomas originados de una metaplasia intestinal previa (el llamado esófago de Barrett). Este adenocarcinoma es uno de los ejemplos de cancer ocurridos sobre la base de metaplasia, la que ocurre en el esófago distal, es la mayor riesgo de transformación maligna en el tracto gastro-intestinal (9).

 

REFERENCIAS BIBLIOGRÁFICAS

1.Reed MF, Mathisen DJ Tracheoesophageal fistula. Chest Surg Clin N Am 2003;13(2):271-89.
2.Gschossmann JM, Bonner JA, Shaw EG, Martenson JA Jr, Su J. Malignant tracheoesophageal fistula in patients with esophageal cancer. Cancer 1993;72(5):1513-21.
3.Enzinger P, Mayer R. Esophageal Cancer. New England Journal of Medicine 2003; 349:2241-2252.
4.Otter R, Gerrits WB, vd Sandt MM, Hermans J, Willemze R. Primary extranodal and nodal non-Hodgkin’s lymphoma. A survey of a population-based registry Eur J Cancer Clin Oncol 1989;25(8):1203-10.
5.Menárguez J, Mollejo M, Carrión R, et al. Waldeyer ring lymphomas. A clinicopathological study of 79 cases. Histopathology 1994 ;24(1):13-22.
6.Nascimento AG, Amaral AL, Prado LA, Kligerman J, Silveira TR. Adenoid cystic carcinoma of salivary glands. A study of 61 cases with clinicopathologic correlation. Cancer 1986 ;57(2):312-9.
7.Petursson SR. Adenoid cystic carcinoma of the esophagus. Complete response to combination chemotherapy. Cancer 1986 ;57(8):1464-7.
8.Rosai J. Rosai and Ackerman´s Surgical Pathology. 9th Ed. Philadelphia: Mosby; 2004. p. 615-647.
9.Kumar V, Abbas A, Fausto N. Robbins y Cotran patología estructural y funcional. 7° Edición. Madrid: Elsevier; 2005.p. 807.